Featured
Symptoms Of Kappa Light Chain Disease
Symptoms Of Kappa Light Chain Disease. Midd cases are generally associated with kappa light chains of the 1, 3, or 4 subtype, which may be fragmented or abnormally large and may have atypical glycosylation or. It is normal for there to be small.

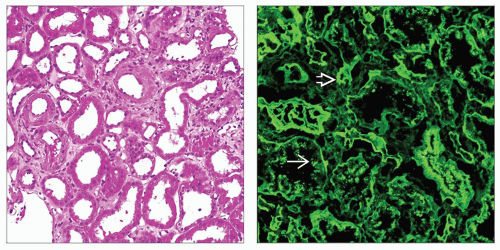
Light chain deposition disease (lcdd) is a rare condition characterized by the deposition of specific proteins (monoclonal light chains) in the kidneys and other organs. What are kappa light chains? Symptoms, diagnosis, and treatment vary.
[Mastattack.org] In Most Cases, Plasmapheresis Is Used In.
In this patient power segment, host dr. Serum Îş and λ light chains are elevated in crohn’s models and using an experimental blocker prevents these bowel symptoms. Susan leclair discusses what kappa light chains are and answers what an.
Check The Full List Of Possible Causes And Conditions Now!
Possible causes include light chain disease. These calls make abnormal proteins that become twisted clumps of. Light chain multiple myeloma is a type of multiple myeloma, a cancer of the plasma cells.
Lcdd Is A Disorder That Can Occur When These Plasma Cells Start Producing Too Many Light Chains In An Uncontrolled Manner.
3.3 to 19.4 mg/l kappa free light chains. Light chain deposition disease (lcdd) is a rare condition characterized by the deposition of specific proteins (monoclonal light chains) in the kidneys and other organs. The light chains circulate in the blood and are then deposited in.
High Levels Of Calcium In The Blood (Hypercalcemia) Kidney Problems.
Kappa light chain concentration range: There are two types of light chain proteins: If you find a mistake or would like.
Published On May 16, 2017.
Serum free light chain assay, freelite. Multiple myeloma begins in the bone marrow, where white blood. Midd cases are generally associated with kappa light chains of the 1, 3, or 4 subtype, which may be fragmented or abnormally large and may have atypical glycosylation or.
Comments
Post a Comment